EN
|
ES
1090 E. Brandon Blvd. Brandon, FL 33511
813-548-7037
Book An Appointment
Menu
Smile Gallery
About
Blog
FAQ’s
Meet the Doctor
Patients
Insurance & Financing
Membership Plans
Patient Forms
Services
General & Preventive Dentistry
Dental Fillings
Dental Exams & Cleaning
Tooth Extractions
Root Canal Therapy
Cosmetic Dentistry
Clear Aligners
Dental Veneers
Zoom! Teeth Whitening
Snap On Dentures
Restorative Dentistry
Dental Bridges
Dental Crowns
Dental Implants
All-on-4 Dental Implants
Full & Partial Dentures
Contact Us
Our Office will be Closed for holidays from June 1 to June 12
Smile Gallery
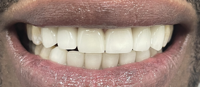
Front top 6 teeth cosmetic crowns done.
Front top 4 teeth crowns for smile makeover
Zoom Teeth whitening
Top all teeth crown and bridges to improve smile and replace missing teeth.
Top 6 teeth crowns done
Close
Font Resize
A-
A+
Reset font size
Keyboard navigation
Readable Font
Contrast
Choose color
White
Black
Underline links
Highlight Links
Clear cookies
Invert Colors
Close
Accessibility by WAH
Smile Gallery
About
Blog
FAQ’s
Meet the Doctor
Patients
Insurance & Financing
Membership Plans
Patient Forms
Services
General & Preventive Dentistry
Dental Fillings
Dental Exams & Cleaning
Tooth Extractions
Root Canal Therapy
Cosmetic Dentistry
Clear Aligners
Dental Veneers
Zoom! Teeth Whitening
Snap On Dentures
Restorative Dentistry
Dental Bridges
Dental Crowns
Dental Implants
All-on-4 Dental Implants
Full & Partial Dentures
Contact Us
Click to listen highlighted text!